Biotech / Biosimilars
Fab Biopharma
Revolutionizing Biologics (and Biology) through a Focus on Women
Cell Therapy
Cell X Technologies
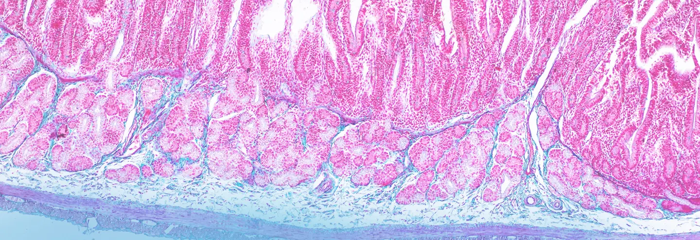
Facilitating Organoid Production for Biopharmaceutical Applications
Lab Equipment
Alpenglow Biosciences
Accelerating Drug Development with AI-Enabled 3D Spatial Biology